SmileDent
At SmileDent, your smile is our top priority. Combining modern technology with gentle, painless care, we make dental visits comfortable, accessible, and tailored to your needs. Whether you’re here for routine care or a sparkling smile makeover, our multilingual team ensures you feel confident and cared for every step of the way.”
Services
Toothaches
Tooth Extraction
Teeth Cleaning
Treatment Planning
Treatment Planning
Crowns
Toothaches
Tooth Extraction
Teeth Cleaning
Treatment Planning
Treatment Planning
Crowns
Featured Cases

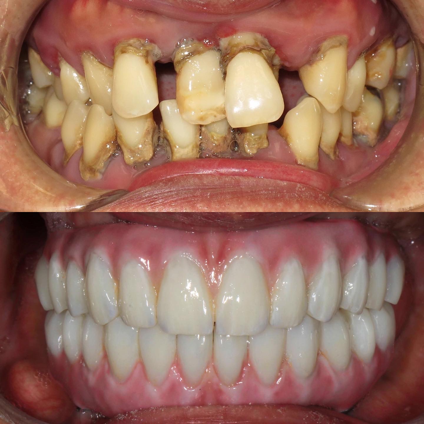
Rebuilding Function and Beauty After Severe Tooth Damage
The patient exhibited extensive dental damage caused by long-term inflammation, decay, and intense bruxism. With a personalized treatment plan, we transformed their smile with porcelain crowns and dental implants, bringing back strength, comfort, and a naturally radiant smile that shines with confidence.

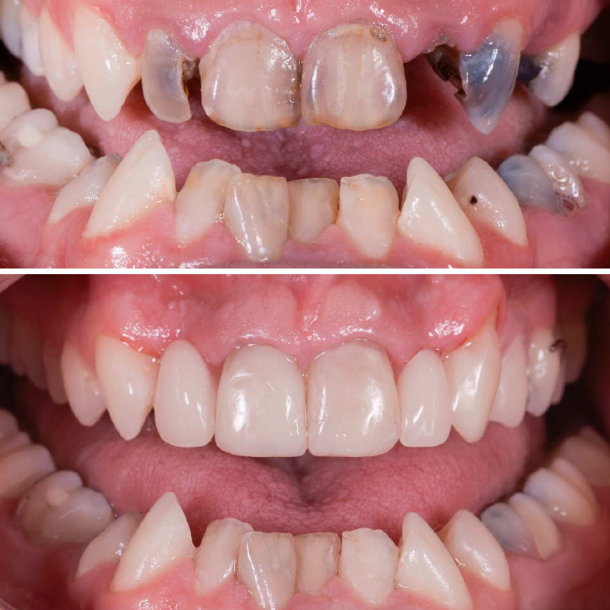
Comprehensive Smile Rehabilitation After Gum Disease
This patient was suffering from advanced gum inflammation and tooth decay, which had led to significant tooth loss. After restoring gum health and treating the underlying disease, we rebuilt their smile with porcelain crowns and dental implants, creating a healthy, natural, and confident new look.

Rebuilding Function and Aesthetics Following Tooth Decay
This patient suffered extensive tooth damage due to severe decay. After addressing contributing factors like diet and oral hygiene and treating the decay, we restored their teeth with composite fillings, bringing back both function and a natural, healthy appearance.
Our Team
At SmileDent, we combine expert dental care with a warm, approachable team.
Our multilingual staff helps every patient feel at home, confident, and informed about their dental health.
Dr. Daniel Moreno, DDS
Clinic Manager
With 18 years of experience, Dr. Moreno keeps the clinic running smoothly while providing expert dental care, ensuring every patient experience is seamless and stress-free.
Dr. Miguel Santos, DDS
Cosmetic and Restorative Specialist
Dr. Santos has 12 years of experience in cosmetic and restorative dentistry, helping patients achieve beautiful, lasting smiles with precision and care.
Hannah Lee, RDH
Dental Hygienist
Hannah’s cheerful approach and attention to detail, backed by 10 years of experience, ensure your teeth stay healthy and sparkling between visits.
Sophia Ramirez
Receptionist
Sophia has 6 years of experience in patient services and healthcare administration, welcoming patients and making every visit smooth and stress-free.
Patient Testimonials
Book Your Appointment
Lorem ipsum dolor sit amet, consectetur adipiscing elit, sed do eiusmod tempor incididunt ut labore et dolore magna aliqua. Dui vivamus arcu felis bibendum ut tristique et egestas quis.
Our Location
Contact us
Lorem ipsum dolor sit amet, consectetur adipiscing elit. Ut elit tellus, luctus nec ullamcorper mattis, pulvinar dapibus leo.